A fundadora da Clínica View, Dra. Thaline Hernandez das Neves Coutinho, destaca que a ressonância magnética fetal tem se consolidado como uma das principais ferramentas para o diagnóstico de tumores cardíacos raros, como o teratoma pericárdico. Essa tecnologia não invasiva permite a obtenção de imagens detalhadas e tridimensionais do feto, essenciais para detectar anomalias estruturais com precisão e segurança durante a gestação. Em casos de alta complexidade, como os tumores cardíacos, a ressonância representa um avanço decisivo no cuidado perinatal.
O caso clínico: quando o diagnóstico por imagem define o plano de vida
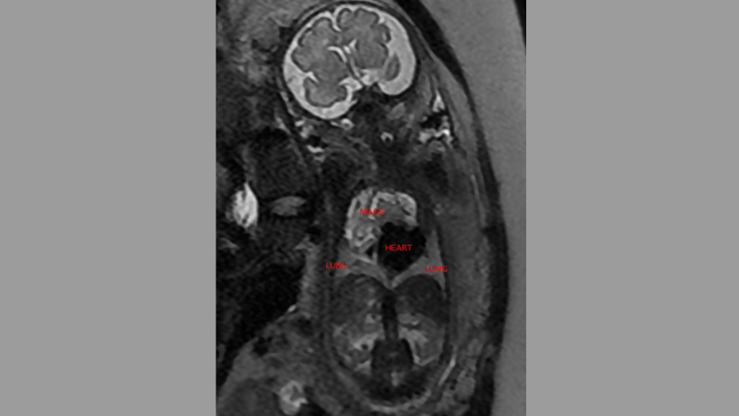
Um exemplo marcante do impacto desse exame foi o caso de uma gestante inicialmente atendida por outra médica em sua cidade. Durante um ultrassom de rotina, foi identificada uma massa entre o pulmão e o coração do feto, sem definição clara sobre sua origem. Diante da complexidade, a paciente foi encaminhada para avaliação com a Dra. Thaline Hernandez das Neves Coutinho, referência em medicina fetal e única especialista a realizar ressonância magnética fetal em todo o seu estado.
Ao realizar uma nova ultrassonografia e posteriormente a RM fetal, Dra. Thaline Hernandez das Neves Coutinho identificou que a massa não era pulmonar, como inicialmente suspeitado, mas sim localizada no saco pericárdico — estrutura que envolve o coração. A hipótese de uma formação cardíaca foi então discutida com cardiologistas pediátricos e outras especialistas, e, com base nas imagens e achados clínicos, chegou-se ao diagnóstico por imagem de teratoma pericárdico fetal.
Teratoma pericárdico: um tumor raro com riscos significativos
O teratoma pericárdico é um tumor incomum que se desenvolve no interior do saco pericárdico — uma membrana que reveste externamente o coração. Apesar de geralmente benigno, esse tipo de tumor pode crescer de forma significativa e interferir na função cardíaca do feto, provocando arritmias, compressões e até comprometimento pulmonar. A detecção precoce e o acompanhamento contínuo são fundamentais para evitar complicações graves.
No caso relatado, a Dra. Thaline Hernandez das Neves Coutinho acompanhou de perto o desenvolvimento fetal por meio de ultrassonografias seriadas e exames de ressonância, analisando a evolução do tumor e seus efeitos sobre o coração. A principal preocupação era se o crescimento da massa afetaria o ritmo ou a eficiência da função cardíaca, o que exigiria uma intervenção antecipada.
Ressonância magnética fetal: precisão para decisões complexas
A RM fetal se mostrou fundamental para diferenciar o teratoma pericárdico de outras lesões torácicas, como cistos broncogênicos ou linfangiomas. A técnica permitiu observar detalhes como ausência de calcificações e padrão de vascularização, auxiliando no diagnóstico preciso. Com base nesses dados, a equipe multidisciplinar — composta por obstetras, cardiologistas pediátricos, neonatologistas e cirurgiões — elaborou um plano detalhado de parto e tratamento.

A estratégia consistia em acompanhar a gestação com segurança, intervir caso o tumor comprometesse a função cardíaca fetal e, se possível, permitir o nascimento a termo. Assim que o bebê nasceu, foi encaminhado imediatamente para cirurgia cardíaca, realizada com sucesso. Após o procedimento, a análise anatomopatológica confirmou o diagnóstico de teratoma pericárdico, com a presença de algumas células de malignidade, o que reforçou a importância da conduta rápida e precisa.
Uma jornada de cuidados integrados e alta tecnologia
Hoje, o bebê encontra-se saudável, com ganho de peso adequado e evolução satisfatória. A probabilidade de recorrência do tumor é baixa, mas o acompanhamento continua sendo feito de forma regular. Para Dra. Thaline Hernandez das Neves Coutinho, esse caso reforça a importância da ressonância magnética fetal como ferramenta decisiva para diagnósticos diferenciais e para o planejamento de estratégias clínicas eficazes durante a gestação.
A atuação integrada de diversas especialidades médicas e a precisão das imagens obtidas por RM garantiram segurança à gestante e ao bebê, permitindo uma resposta rápida e eficiente desde o pré-natal até o pós-operatório.
Tecnologia a favor da vida
A medicina fetal tem avançado significativamente com o apoio de tecnologias como a ressonância magnética, que oferece uma visão ampla e detalhada do ambiente intrauterino. Segundo Dra. Thaline Hernandez das Neves Coutinho, investir em exames de imagem avançados é uma estratégia essencial para aprimorar o cuidado pré-natal, sobretudo em casos de alto risco.
Em síntese, a ressonância magnética fetal é uma aliada poderosa na proteção da vida, permitindo diagnósticos precoces, planejamento seguro e intervenções oportunas. Casos como esse mostram que, com tecnologia, experiência e trabalho em equipe, é possível transformar desfechos e salvar vidas antes mesmo do nascimento.
Autor: Edgar Romanov
